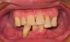
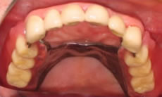
上の前歯はブリッジを装着し、奥歯は部分入れ歯を装着しました。
通常ですと、入れ歯の部分は金属のバネが見えてしますところですが、アタッチメントというバネに代わる装置を使用したことにより、審美的にも良好な結果となりました。






上顎にアタッチメント使用した例
¥300,000~¥400,000(欠損歯数によって変わります)
歯を何本か失った場合、部分入れ歯を用いて治療を行います。その際、金属のバネが見えてしまうなどの審美的な問題がありました。当院では、金属のバネを使わない入れ歯を用いることにより、入れ歯であることをわかりにくくし、審美的な問題を改善しました。




金属のバネがないバルプラストの入れ歯について
¥110,000~¥180,000(欠損歯数によって変わります)
自費治療。治療期間は1~2か月。
治療のリスクは、義歯装着後の疼痛のため調整・義歯の変色です。
医院案内
治療案内
24時間受付メールで診察予約
電話にて診察予約