治療案内

口腔外科

  • 顎の骨の中にうまった親知らずの抜歯
  • 嚢胞(のうほう・膿の袋)の摘出
  • お口の中にできた良性の腫瘍の切除
  • 歯の移植

などの小手術を行います。症例によっては、病理組織検査を依頼し、確定診断を得る場合もあります。

親知らずの抜歯について

  • 普通に生えている親知らず
  • 真横にしかも骨に埋まっている親知らず

親知らず(智歯と言います)の抜歯って「痛い」「腫れる」というイメージがありますよね。
でも果たしてそうでしょうか?
確かに上のレントゲン写真の様に顎に埋まっている親知らずを抜歯する場合は、抜歯後、多少腫れたり痛みもでるでしょう。しかし、普通に生えている場合は、痛みも腫れもほとんどありません。
親知らずに限らず歯の根っこは、年齢とともに周囲の顎の骨と「癒着」といってガッチリくっついていく傾向にあるのです。ですから、同じ条件でも20代で抜歯するのと40代50代で抜歯するのとでは、大変さが変わってくるのです。また、根っこの形態によっても変わってきます。根っこの先端が曲がっていたりすると、周囲の骨に引っ掛かって、「なかなか抜けてこない」なんてこともあるのです。

親知らずは20歳前後になると、周囲の歯ぐきが腫れたり、痛みを伴うことがあります。(智歯周囲炎と言います)炎症が進展すると、口が開きにくくなったり喉のほうまで腫れて飲み込みにくくなったりします。
局所の消毒や抗生剤の投与によって症状を改善させる事は出来るのですが、再発する場合が多いのです。さらにそれを放置していると、周囲の骨も痩せてきて、手前の歯にも影響を及ぼしかねません。そのため最終的には、原因の歯である親知らずの抜歯をお奨めします。

当医院では、ご希望の方に鼻から笑気を吸入しリラックスした状態で行う笑気吸入鎮静法を併用しています。
症状がでたら若いうちに抜歯してしまいましょう。

症例1:親知らずの抜歯

埋まっている親知らずを抜歯すると、半年程度できちんと骨が出来上がってきます。


  • 初診時
    右下の親知らずと手前の歯が下あごに埋まっています。

  • 抜歯2週間後の状態
    抜歯した部分は、徐々に骨が出来上がってきます。

抜歯後、半年程で骨は出来上がります。

健康保険適用のため治療費は約4,000円(3割負担)。
治療期間は、抜歯後1週間ほどで抜糸を行い問題なければ終了。
治療のリスクは、術後の疼痛(ドライソケット)・術後の感染・下歯槽神経麻痺・上顎洞との交通などがあります。

症例2:歯根嚢胞

むし歯が進行して神経や血管が通っている管(歯髄)が感染したり、神経の治療をしたにもかかわらずに細菌が侵入すると根の先端に膿の袋を作ることがあります。これを歯根嚢胞と言います。
レントゲン写真では、根の先端に影(X戦透過像)を認めます。

症状

  • 無症状で他部位の治療中に偶然発見される
  • 歯茎に白いおできの様な物(フィステル・漏孔)が出来る
  • 歯茎が腫れる・痛い
  • 噛むと痛い
  • 歯が浮いた感じがする

治療方法

  • 根管治療(根の中を洗浄消毒しきれいにする治療)のみ行う。
  • 嚢胞のみを摘出する。(根管治療と併用する場合もある。)
  • 原因歯の抜歯と嚢胞を摘出する。
  • 根の先端に影(透過像)を認める
    原因歯の根管治療を行っているところ
  • 嚢胞を摘出
    摘出物は袋状になっており中は液体あるいは半流動体で満たされています。

健康保険適用のため治療費は約3,000円~6,000円(3割負担)。
治療期間は、抜歯後1週間ほどで抜糸を行い問題なければ終了。
治療のリスクは、再発・術後の疼痛・術後の感染・部位によっては下歯槽神経麻痺・上顎洞との交通などがあります。

症例3:下唇に出来た良性の腫瘍

唇や頬の粘膜に腫瘤(出来物)が出来ることがあります。
粘液種あるいは線維腫といった良性の腫瘍である場合がほとんどです。
処置は切除する必要があります。
小さい出来物なら当医院にて15分程度で行えますが、大きい場合は速やかに大学病院もしくは総合病院の口腔外科にご紹介いたします。

健康保険適用のため治療費は約3,000円(3割負担)。
治療期間は、抜歯後1週間ほどで抜糸を行い問題なければ終了。
治療のリスクは、再発・術後の疼痛・術後の感染。

症例4:腫瘍の切除

歯肉に腫瘤(できもの)が認められた場合、腫瘤を切除し、病理組織検査を行った後、必要に応じて冠(硬質レジン前装冠)などを装着していきます。

処置前
歯肉に腫瘤(できもの)が認められます

健康保険適用のため治療費は約3,000円~5,000円(3割負担)。
治療期間は、抜歯後1週間ほどで抜糸を行い問題なければ終了。
治療のリスクは、再発・術後の疼痛・術後の感染。

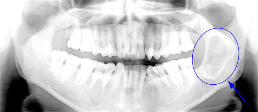
症例5:下顎の骨の中に出来た嚢胞または腫瘍

写真の右側(矢印の部分)にX線透過像(影)が認められます。
下顎の骨の中に見られる嚢胞(膿の袋)です。(腫瘍の場合もあり)
症状は無く、この様なレントゲンを撮影したときにたまたま見つかるケースがほとんどです。
処置は摘出する必要がありますが、病巣が大きいので入院が必要です。
速やかに大学病院もしくは総合病院の口腔外科にご紹介いたします。

24時間受付メールで診察予約

電話にて診察予約

 

042-522-4302 042-522-4302

平日
9:00~12:30 / 15:00~19:30
土曜日
9:00~12:30 / 14:30~17:30